源龄生命 | 从源头管理健康

全球首例 | 菌群移植方案成功治愈结直肠癌晚期案例解读

15
发表时间:2025-08-23 14:03

结直肠癌作为全球第三大常见恶性肿瘤,25% 的患者在确诊时已处于晚期或转移性结直肠癌(mCRC)阶段,5 年生存率约为 14%,其治疗一直是医学领域的重点与难点。尤其对于占患者群体大多数的 pMMR MSS(错配修复 proficient / 微卫星稳定)型晚期结直肠癌,免疫检查点抑制剂(ICI)单药治疗的响应率极低,患者预后往往不佳。

然而,一篇发表于《Cureus》的案例报告为这一困境带来了新的希望 —— 通过抗 VEGF 药物、抗 PD-1 药物与肠道菌群移植(FMT)的联合应用,一名 IVb 期 pMMR MSS 结直肠癌患者实现了病理完全缓解(pCR),该研究主要由深圳湾实验室坪山生物医药研发转化中心的孵化企业君常怡生物,联合云南肿瘤专科医院合作完成,这是全球首次利用联合菌群移植(FMT)技术治愈肿瘤患者的案例。这一突破性进展为同类患者的治疗开辟了全新路径。

图片




01

病例背景:晚期结直肠癌的治疗困境






该案例中的患者为一名 57 岁中国男性,被确诊为 pMMR MSS IVb 期升结肠癌伴肝转移。确诊时,患者不仅存在反复腹痛和大便形状异常等症状,肿瘤标志物也显著升高 —— 癌胚抗原(CEA)达 30.1μg/L(健康人参考值<3μg/L),糖类抗原 19-9(CA19-9)达 62.64kU/L(健康人参考值<37kU/L)。

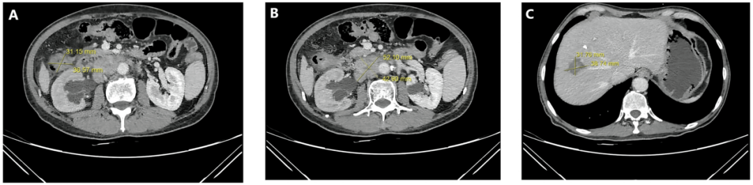
影像学检查显示,升结肠原发肿瘤大小为 4.9cm×4.4cm,腹膜后淋巴结转移灶达 8.4cm×4.7cm,肝右叶转移灶更是高达 10.3cm×8.7cm,病情已进入晚期,治疗难度极大。


图片

A:结肠肿瘤CT图   B:淋巴肿瘤CT图   C:肝脏肿瘤CT图

在接受联合治疗前,患者先后尝试了两种一线治疗方案,但均未达到理想效果。首先采用的是抗 EGFR 药物(CPGJ602)联合改良 FOLFOX6 化疗,尽管肝转移灶有所缩小,但结肠原发肿瘤和淋巴结转移灶反而增大,疾病进展至 IVc 期;随后改用抗 VEGF 药物(贝伐珠单抗)联合 FOLFOXIRI 化疗,虽然实现了部分缓解(PR),但高强度化疗引发的消化道反应和骨髓抑制让患者无法耐受,治疗被迫中断。此时,患者的肿瘤仍无法通过手术切除,陷入了无有效治疗方案的困境。

图片

不同治疗阶段后的肿瘤标志物水平






02

创新治疗方案:三管齐下的协同策略


面对传统治疗的失败,医疗团队尝试了一种创新性的联合治疗方案:抗 PD-1 药物(替雷利珠单抗)+ 抗 VEGF 药物(贝伐珠单抗)+ 肠道菌群移植(FMT)胶囊。这一方案的设计并非偶然,而是基于对肿瘤微环境、免疫调节与肠道菌群关系的深入理解。

治疗具体流程为每三周一个周期:在每个周期的前 4 天,患者每日口服一粒安复每天FMT 胶囊以调节肠道菌群;第 7 天静脉注射替雷利珠单抗(200mg)和贝伐珠单抗(270mg)。从 2022 年 3 月至 8 月,患者共完成 8 个周期的治疗。令人振奋的是,这一方案不仅未引发严重副作用,还取得了显著的治疗效果:

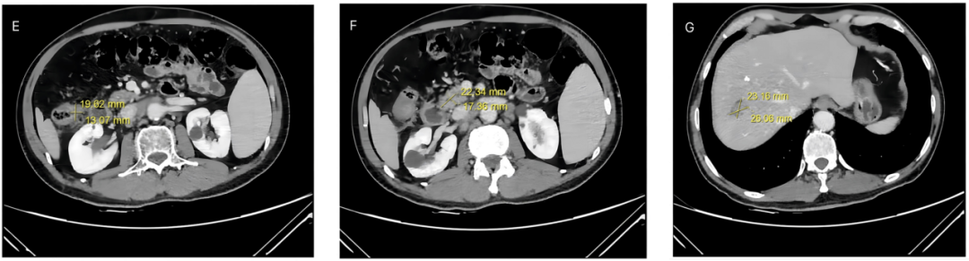
  • 肿瘤大小显著缩小:结肠原发肿瘤从 3.7cm×3.1cm 缩小至 2.0cm×1.3cm,腹膜后淋巴结转移灶从 5.2cm×4.3cm 缩小至 2.2cm×1.7cm,肝转移灶从 3.9cm×3.2cm 缩小至 2.6cm×2.3cm,达到部分缓解(PR)标准。

  • 肿瘤标志物大幅下降:CEA 降至 5.38μg/L,CA19-9 降至 30.61kU/L,均接近正常参考值。

  • 实现手术切除与病理完全缓解:由于肿瘤缩小至可切除范围,患者接受了肝转移灶微波消融术和右半结肠根治术,术后病理检查未发现癌细胞,达到病理完全缓解(pCR)。

图片

E:结肠肿瘤CT图   F:淋巴肿瘤CT图   G:肝脏肿瘤CT图


图片


03

肠道菌群:免疫治疗的 隐形调节器

该案例的成功,肠道菌群移植(FMT)的作用尤为关键。研究团队通过对患者治疗期间的粪便样本进行宏基因组分析,揭示了肠道菌群与治疗响应之间的密切关联:

  • 菌群多样性提升:治疗前患者肠道菌群的 Inverse Simpson 指数(衡量菌群多样性的指标)为 1.86,治疗结束后升至 3.10,接近健康供体的 2.92,表明 FMT 成功改善了患者肠道菌群的多样性与平衡性。

  • 菌群组成优化:在门水平上,不利于抗 PD-1 治疗响应的拟杆菌门(Bacteroidetes)比例下降,而有利于治疗的厚壁菌门(Firmicutes)比例上升;在种水平上,免疫治疗响应者中常见的普拉梭菌(Faecalibacterium prausnitzii)比例从 12% 升至 26%,而非响应者中常见的单形拟杆菌(Bacteroides uniformis)比例从 15% 降至 6.2%。

这些变化表明,FMT 通过重塑肠道菌群结构,改善了肿瘤微环境,增强了免疫系统对肿瘤细胞的识别与攻击能力,从而逆转了 pMMR MSS 肿瘤对免疫治疗的抵抗性。正如研究中所指出的,肠道菌群代谢物可直接作用于肠道黏膜免疫细胞,激活 T 细胞、树突状细胞和巨噬细胞,为免疫治疗发挥作用 “铺路搭桥”。


图片

菌群移植通过改变肠道微生物群,增强了抗肿瘤免疫反应。


04

临床启示:为 pMMR MSS 结直肠癌治疗开辟新方向


FMT 是将健康供体的粪便菌群提取物通过特定方式移植到患者肠道内,以恢复正常肠道微生物群的方法。

这是一项安全、低风险的医疗新技术,有鼻饲管、灌肠、口服胶囊等多种方式。世界范围内已开展几万例次的菌群移植,极少有严重不良反应的报道。在目前的研究中,口服胶囊是最为安全和方便的菌群移植方式之一,与其他方式相比,口服胶囊不需要麻醉和内视镜辅助,操作简单、无痛苦及不适,感染和出血风险几乎为零。

图片
图片


最后,这一案例的成功具有重要的临床意义。长期以来,pMMR MSS 型结直肠癌因突变负荷低、免疫原性弱,对免疫检查点抑制剂单药治疗响应率不足 5%,患者往往只能依赖化疗和靶向治疗,预后较差。而该案例证明,通过 FMT 调节肠道菌群,可能让这部分患者从免疫治疗中获益,为晚期结直肠癌的个体化治疗提供了新的思路。



分享到:
首页               关于我们               成功案例               健康资讯               联系我们
合作咨询  ylfmt2050  (周一周日:9:00-22:00)
Copyright©2022All Rights Reserved 版权所有:源龄健康产业科技(深圳)有限责任公司  粤ICP备2020141030号-1